Fracture Treatment in Kathmandu should begin with one priority: getting the injury assessed properly and keeping the affected area stable until medical care is available. A fracture can range from a small crack in the bone to a severe break with deformity, bleeding, or damage to nearby tissues. Nepal National Hospital in Kalanki, Kathmandu lists an active Department of Orthopedics, trauma and fracture management, rehabilitation support, and 24/7 contact services, making it a relevant option for patients who need prompt orthopedic evaluation.

Broken bones are common after falls, road traffic accidents, sports injuries, and direct trauma. Cleveland Clinic notes that most fractures happen because of trauma such as falls, car accidents, and sports injuries, while repeated stress or weakened bone from conditions like osteoporosis can also lead to fractures.
Why timely fracture care matters
A fracture is not just about pain. The injury can also affect nearby muscles, ligaments, nerves, blood vessels, and joints. Delayed treatment can increase the risk of poor alignment, prolonged pain, slower healing, stiffness, and complications such as malunion, nonunion, infection in open fractures, or damage to surrounding tissue.
This is why early evaluation by an orthopedic team matters. Nepal National Hospital’s orthopedic information highlights trauma and fracture management, imaging support, and physiotherapy-linked recovery as part of its orthopedic services.
Common causes of fractures
Most fractures happen when force on the bone is stronger than the bone can handle. The most common causes include:
- falls
- road traffic accidents
- sports injuries
- direct blows or crush injuries
- repetitive strain that causes stress fractures
- weak bones due to osteoporosis or other medical conditions
For many patients, the fracture cause also helps guide treatment. A simple non-displaced fracture after a minor fall may be managed very differently from a high-impact injury after a road accident.
Signs that a bone may be broken
A fracture often causes sudden pain, swelling, tenderness, bruising, and difficulty moving the injured area. Cleveland Clinic and AAOS both note that deformity, visible misalignment, or being unable to use the limb normally are important warning signs. In severe cases, the bone may protrude through the skin, which is an emergency.
In practical terms, you should suspect a fracture if:
- pain is sharp and immediate after injury
- swelling or bruising appears quickly
- the limb looks bent, shortened, or out of place
- weight-bearing becomes difficult or impossible
- movement causes severe pain
- there is an open wound or bone is visible
First aid for a suspected fracture
The first goal is to protect the injured area from further movement. Mayo Clinic advises not to try to realign the bone and not to push a protruding bone back in. If there is bleeding, apply pressure with a clean cloth or dressing. If you know how to splint safely and help is delayed, the splint should support the joints above and below the fracture site.
NHS guidance also recommends avoiding weight-bearing on the injured limb, supporting it with padding or a sling where appropriate, and avoiding food or drink in case surgery is needed. For arm or wrist injuries, a towel sling can help support the limb while waiting for care.
What not to do after a fracture
Do not force the injured limb back into position. Do not keep walking on a possibly broken leg. Do not ignore numbness, worsening pain, or a cold or pale limb. And do not delay urgent care if the limb is visibly deformed, a bone is sticking out, there is heavy bleeding, or the person cannot bear weight. These are signs that emergency assessment is needed.
When emergency care is important
A suspected fracture needs urgent assessment when there is severe pain, major swelling, deformity, bone exposure, numbness, tingling, bleeding, or difficulty moving the limb. NHS guidance for broken limbs specifically flags bone sticking out, a limb at an odd angle, heavy bleeding, or numbness as reasons for immediate emergency care.
For patients in Kathmandu, Nepal National Hospital’s official contact page lists 24/7 care, phone numbers +977 01 5225101, 5225103, and location in Kalanki, Kathmandu.
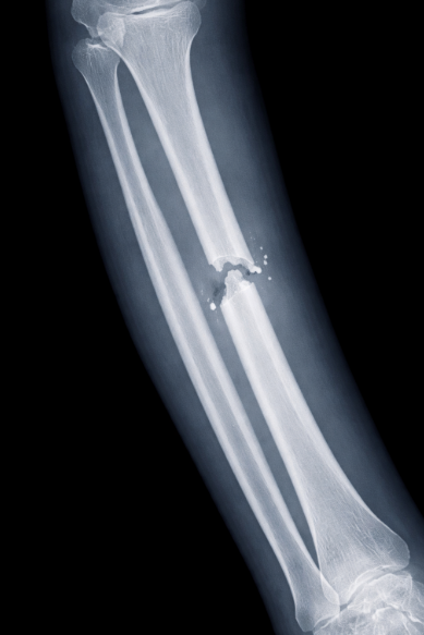
How doctors diagnose a fracture
Diagnosis usually begins with the history of the injury and a physical examination. Mayo Clinic notes that the doctor will look for tenderness, swelling, deformity, and open wounds, then use imaging to confirm the fracture. X-rays are the main first test because they usually show the location and pattern of the break. CT or MRI may be needed when the fracture is complex, near a joint, or not clearly visible on plain X-ray.
Cleveland Clinic also notes that fracture diagnosis may involve X-rays, CT, MRI, or, in some cases, bone scans depending on the situation. NICE guidance further emphasizes structured assessment and management for non-complex fractures in emergency and orthopedic settings.
Treatment options for fractures
Treatment depends on the bone involved, the type of break, and whether the fracture is stable or displaced. Some fractures only need a splint, cast, or brace to keep the bone still while it heals. More serious fractures may need a closed reduction to realign the bone without surgery, or surgery using plates, screws, rods, pins, or external fixation.
Nepal National Hospital’s orthopedic service information highlights trauma and fracture management, digital imaging, CT and MRI access, emergency orthopedic services, and rehabilitation support. For patients seeking an orthopedic hospital in Nepal, that combination is important because fracture care often continues well beyond the first cast or surgery.
Healing time: how long does a fracture take to heal?
There is no one healing time for every fracture. AAOS states that some fractures, such as finger fractures, may heal in about 3 to 4 weeks, while many others take 6 to 8 weeks, and more severe injuries may take 3 to 6 months or longer. Cleveland Clinic adds that severe fractures can sometimes take a year or more to fully recover, depending on the bone, the injury pattern, and the treatment needed.
NHS examples give a practical sense of timing: a broken arm or wrist usually takes around 6 to 8 weeks to recover, while a broken leg often takes about 6 to 12 weeks, sometimes longer.
What affects fracture healing?
Healing time is influenced by:
- the location of the fracture
- whether it is open or closed
- whether the bone is displaced
- your age
- general health
- smoking, nutrition, and medical conditions such as diabetes
- how well you follow immobilization and rehabilitation advice
Following your doctor’s advice matters. AAOS specifically notes that recovery depends not only on the injury itself, but also on how well the patient follows treatment recommendations.
Why rehabilitation is part of fracture treatment
Healing the bone is only one part of recovery. After immobilization or surgery, patients often need physiotherapy to improve range of motion, restore muscle strength, reduce stiffness, and return safely to normal activities. NHS guidance for broken limbs and Nepal National Hospital’s orthopedic content both emphasize rehabilitation as part of the recovery process.
This is especially important after leg fractures, joint-adjacent fractures, or surgeries where stiffness and weakness can last for weeks or months.
Why choose Nepal National Hospital for fracture care?

Nepal National Hospital can be positioned as a strong option for fracture and trauma care because its official site and orthopedic service pages highlight:
- an orthopedic department with senior orthopedic and trauma-focused specialists
- trauma and fracture management
- digital X-ray, CT, and MRI support
- emergency orthopedic services
- physiotherapy and rehabilitation
- a Kalanki, Kathmandu location with 24/7 contact access
For local patients, that means the hospital is set up not only for diagnosis, but also for ongoing orthopedic follow-up and recovery planning.
Final thoughts
A fracture should never be treated as “just pain after a fall.” The right first aid, early imaging, proper alignment, and follow-up rehabilitation all affect how well the bone heals. If you suspect a broken bone, keep the area still, avoid trying to fix it yourself, and get medical help quickly.
If you are looking for Fracture Treatment in Kathmandu, Nepal National Hospital offers orthopedic services, trauma care, imaging support, and rehabilitation from its Kalanki, Kathmandu location.
FAQ
What is the first aid for a fracture?
The key steps are to keep the injured area still, stop any bleeding with a clean cloth or dressing, avoid trying to realign the bone, and support the limb with a sling, padding, or splint if appropriate. Urgent medical care is needed if there is deformity, heavy bleeding, numbness, or bone sticking through the skin.
How do doctors diagnose a fracture?
Doctors diagnose fractures using the injury history, a physical exam, and imaging. X-rays are usually the first test, while CT or MRI may be added if the fracture is complex or not clearly visible on X-ray.
How long does a fracture take to heal?
Many fractures heal in about 6 to 8 weeks, but some smaller fractures may heal faster and more serious fractures can take several months or longer. Leg fractures often take around 6 to 12 weeks, and severe injuries may need an even longer recovery period.
Can a fracture heal without surgery?
Yes. Many non-displaced or stable fractures heal with immobilization using a splint, cast, or brace. Surgery is more likely when the bone is badly displaced, unstable, open, or involves a joint in a way that needs precise alignment.
When should I go to the emergency room for a suspected fracture?
You should seek urgent care if the pain is severe, the limb looks bent or out of place, a bone is visible, there is heavy bleeding, the limb becomes numb or cold, or you cannot bear weight after the injury. Need urgent orthopedic care after a fall, accident, or suspected fracture?
Nepal National Hospital is located in Kalanki, Kathmandu. Its official contact page lists +977 01 5225101 / 5225103 and info@nationalnepalhospital.com.np for patient contact.